8+ Spring Aligner
Aligners Functionals Retainers Retention Space Maintainers. Download a Cash Application.
Proteomics And Phosphoproteomics Revealed Molecular Networks Of Stomatal Immune Responses Springerlink
Ad Find Deals on automotive parts in Car Parts on Amazon.

. See Our Top Teeth Aligners Brands Dont Miss Out On The Chance To Get a New Smile. Save Up to 80 Off Dealer Prices. Ad Get the Smile Youve Always Wanted Start Here.
Ad Easy online search includes pricing and specifications for over 25000 springs. Download a Credit Application. This video discusses a spring aligner design for upper and lower.
Buy Discount Auto Parts Online Today. The super spring aligner is used to correct teeth positioned lingually. Ad Get the Smile Youve Always Wanted Start Here.
Ideal for minor to moderate anterior tooth movements. Suite E Jamestown NC 27282 Home. See Our Top Teeth Aligners Brands Dont Miss Out On The Chance To Get a New Smile.
Ortho Aligner Tooth Movements. Were driven by hard-work and a relentless passion for dental. 3-3 Spring Aligner OrthoTech Labs 707 W Main St.
Ad Search from over 10 Million Auto Parts. Request a Quote now. The Dental is in the Details.
8 Ford Coupling Garter Spring. The Spring Aligner is similar to a Hawley retainer. This appliance is effective for making slight.
Industry Leading Supplier of Custom Springs.
Pdf Systematic Evaluation Of Spliced Alignment Programs For Rna Seq Data
Super Spring Aligner Odl Orthodontic Labs
Pdf Systematic Evaluation Of Spliced Alignment Programs For Rna Seq Data
Spring Retainer Appliance Fabrication Great Lakes Dental Technologies
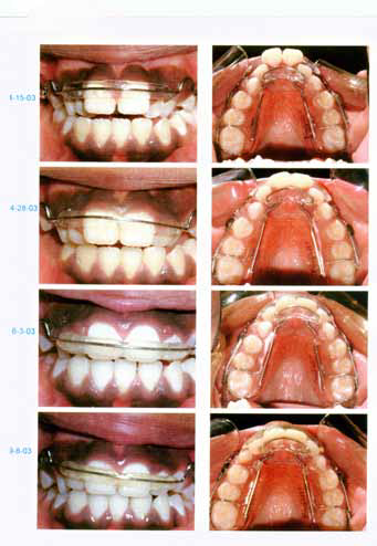
Pdf The Evolution Of The Spring Aligner For Treating Orthodontic Relapse And Mild Crowding
Spring Aligner Appliance With Lingual Extensions Odl Orthodontic Labs Aligners
Orthodontics Lab Modified Spring Retainer Dds Lab
Auto Tools Fyler Carquest Petespaint Ca
Chewies Aligner Mint Scented
Niti Open Coil Spring On A Spool Db Orthodontics Limited
The Evolution Of The Spring Aligner For Treating Orthodontic Relapse And Mild Crowding
Spring Aliner
Spring Aligner 2 Gergen S Orthodontic Lab
Tutorials Procam 8
Modified Spring Aligner Adjustments Youtube
Spring Aligner Biodental
The Evolution Of The Spring Aligner For Treating Orthodontic Relapse And Mild Crowding